전체 글 194

육아기 단축근로 써본 아빠가 말하는 급여 차이 (2026년 기준)

작년까지 3교대 근무를 하다가 올해 상근직으로 이동했다.3교대 근무때는 아내와 조율해서 아이의 등원, 하원시간을 맞출 수 있었으나, 상근직으로 가면서 힘들어졌다. 부모님에게 맡길까 생각도 했지만, 고민 끝에 육아기 단축근무를 사용하기로 했다.가장 먼저 드는 생각이 "급여가 얼마나 줄어들까?" 였다.모든 사람들의 첫번째 생각이 아닐까 생각한다. 네이버, 구글에 찾아보았지만, 정보가 제각각이라 내가 직접 찾아보기로 했다. 고용24 (육아기간 단축 근로 정책 안내)대상 만 12세 이하 또는 초등학교 6학년 이하의 자녀 근로시간 단축급여육아기 근로시간 단축을 시작한 후 1개월부터 급여를 받을 수 있음.또한, 육아기 근로시간 단축 개시일 이전 고용보험에 가입된 기간이 180일 이상이어야 함. 단축근로 신청회사에..

정보 2026.02.19

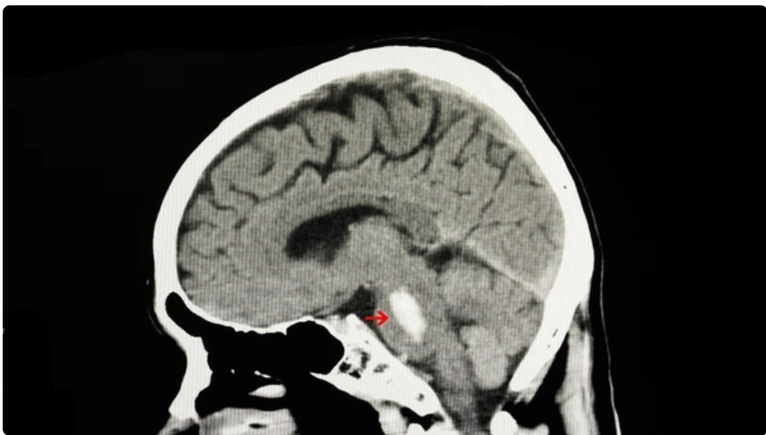
세포독성 뇌부종 (Cytotoxic cerebral edema)

1.세포독성 뇌부종은 혈액-뇌-장벽(BBB)은 비교적 유지된 상태에서 발생하는 부종으로, 뇌세포 자체의 대사 장애로 인해 수분이 세포 내로 이동하면서 발생하는 부종임. 2.혈관성 부종처럼 혈관 밖이 아니라 세포 안에 수분이 축적되는 것이 특징임. 3.주된 원인은 뇌경색, 저산소증, 저혈당, 독성 손상 등으로 세포의 에너지 대사 장애가 발생하면서 Na⁺/K⁺-ATPase 펌프 기능이 저하됨. 4. Na⁺/K⁺-ATPase 펌프는 나트륨은 세포 밖으로 내보내고, 칼륨은 세포 안으로 들어보내는 역할은 하여, 세포 안의 물이 적절하게 유지되고 세포 정상 크기를 유지함 5.에너지 고갈로 인해 능동적 이온 운반이 실패하면서, 세포막을 통한 이온 항상성이 붕괴됨. 6. Na⁺/K⁺-ATPase기능 저하로 인해 세포 ..

공부 요약 2026.02.05

혈관성 뇌부종에서 Dexamethasone을 투여 이유

1.혈관성 뇌부종(Vasogenic edema)은 혈관-뇌 장벽(BBB)의 손상으로 혈장 단백질과 수분이 세포외 공간으로 누출되어 발생함. 2.Dexa는 강력한 스테로이드로써 이러한 병태생리에 여러 방식으로 작용함. 3.혈관-뇌 장벽의 투과성을 감소시켜 손상된 혈관 내피세포를 안정화시키고, 혈관 투과성을 증가시키는 매개 물질들의 생성을 억제하여 추가적인 혈장 성분 누출을 막음. 4.항염증 효과를 통해 뇌부종을 완화시킴.종양 주변이나 감염, 외상 등으로 인한 염증 반응을 억제하여 Prostaglandin, Leukotriene 같은 염증 매개 물질의 생성을 감소시킴. 5.혈관 주위 부종을 감소시켜 두개내압 상승을 예방하며, 특히 뇌종양 환자에서 종양 주변 부종을 효과적으로 감소시켜 mass effect를 ..

공부 요약 2026.01.22

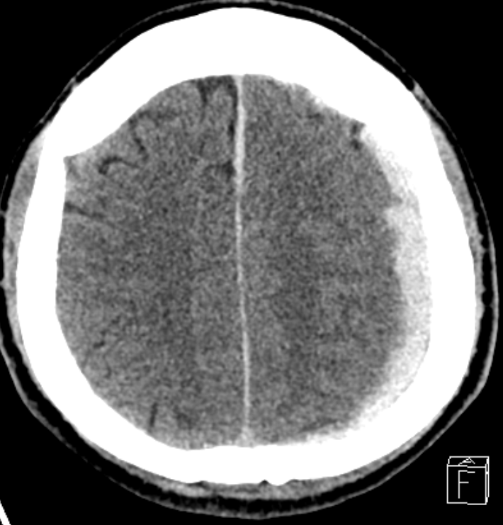
혈관성 뇌부종(Vasogenic edema) 간략히 이해하기

1.혈액과 뇌 조직 사이의 선택적 투과막인 BBB가 손상되면서, 혈관 내에 있어야 할 수분과 혈장 단백질이 뇌의 세포 사이 공간(간질)으로 유출되어 발생하는 부종임. 2.뇌내출혈, 뇌종양, 외상, 뇌농양 등의 원인으로 인해 뇌혈관 내피세포 사이의 기밀결합이 느슨해지거나 파괴됨.출혈 시 발생하는 트롬빈이나 염증 매개 물질이 혈관 벽을 직접 공격함. 3.정상 상태에서는 통과하지 못하던 알부민과 같은 큰 분자의 단백질이 뇌 조직으로 빠져나감.혈장 단백질이 간질로 이동하면 뇌 조직의 삼투압이 상승하여, 혈관 내의 수분을 강력하게 끌어당김. 4.유출된 액체는 저항이 적은 백질의 신경 섬유를 따라 퍼짐.MRI나 CT에서 보이는 손가락 모양 (Finger-like projection)의 부종 양상이 바로 그 때문임...

공부 요약 2026.01.14

뇌내출혈(Intracerebral Hemorrhage) 간략히 이해하기

1.고혈압, 노화, 아밀로이드 침착 등으로 인해 뇌 실질 내 소동맥과 세동맥의 평활근층과 내탄력판이 점진적으로 손상됨.혈관벽은 점차 얇아지고 취약해지며, 미세동맥류가 형성됨. 2.급격한 혈압 변동 또는 구조적 약점으로 인한 혈관이 파열되며 뇌실질 내 출혈이 발생함. 3.파열된 혈관에서 유출된 혈액이 뇌실질에 고이며 혈종을 형성하는데, 초기 수 시간 동안 지속 출혈 또는 재출혈로 혈종 용적이 증가할 수 있음.이 시기가 예후를 결정하는 가장 중요한 급성기임. 4.혈종 자체의 부피로 인해 주변 뇌조직 압박, 뇌실 압박, 정중선 편위가 발생함.특히 시상, 기저핵, 뇌간 인접 부위 출혈 시 의식 저하가 빠르게 진행됨, 5.두개강은 폐쇄 공간이므로 (Monro-Kellie doctrine) 혈종, 뇌부종으로 인해 ..

공부 요약 2026.01.11

뇌교 출혈 (Pontine Hemorrhage)

1.뇌간의 뇌교에서 발생하는 출혈로, 전체 뇌내출혈의 약 10%를 차지하지만 가장 치명적인 예후를 보이는 질환 중 하나임. 2.뇌교출혈의 가장 주된 원인은 만성 고혈압임. 3.주요 혈액 공급원은 기저동맥(Basilar artery)에서 분지되는 paramedian penetrating arteries로, 이들은 짧고 직각으로 분지되는 소동맥임.해당 혈관은 측부 순환이 거의 없어, 파열 시 출혈이 빠르게 진행됨. 4.만성적인 고혈압으로 인해 미세 혈관벽에 지방유리증(Lipohyalinosis)이나 미세동맥류(Charcot-Bouchard aneurysm)가 형성됨.혈관벽 탄성 감소 및 취약해져 급격한 혈압 상승 시 혈관이 파열됨. 이 기전이 뇌교출혈의 가장 흔한 원인임. 5.뇌교는 공간이 매우 제한적이며,..

공부 요약 2026.01.07

경막하출혈(Subdural Hemorrhage)

1.경막하출혈은 경막(dura mater)과 지주막(arachnoid mater) 사이 공간인 경막하강에 혈액이 고이는 상태임.주된 출혈 원천은 교정정맥(bridging vein)으로, 이는 뇌피질의 정맥혈을 상부 시상정맥동 연결하는 구조물임. 2.외상 또는 급격한 가속, 감속으로 인해 뇌와 두개골 사이의 상대적 이동이 발생함.이 과정에서 bridging vein이 과도하게 신장되어 파열 -> 정맥성 출혈 -> 서서히 진행되어 혈종 형성함. 3.동맥 출혈보다 압력이 낮아 출혈 속도는 느리나, 지속적인 누적 출혈로 인해 점점 혈종 크기가 증가함.급성, 아급성, 만성 SDH 모두 동일한 출혈 기전에서 시작됨. 4.파열된 정맥에서 혈액이 경막하강에 고여 CT 상 반월상 형태로 나타남.혈종이 커지면서 뇌조직 압..

공부 요약 2025.12.30

뇌농양 (Brain abscess)

1.뇌농양은 세균 또는 진균 감염으로 인해 뇌실질 내에 국소적으로 고름이 형성된 상태를 의미함.이는 단순 감염이 아닌 염증, 괴사, 부종, 압박이 복합적으로 작용하는 중추신경계 감염 질환임. 2.정상적인 뇌는 BBB에 의해 병원체 침입으로부터 보호됨.균혈증, 인접 감염, 외상 등의 상황에서는 혈액-뇌 장벽이 손상되어 병원체 침투가 가능해짐.이로 인해 세균이 혈행성 또는 직접적으로 뇌실질에 도달하게 됨. 3.뇌농양의 주요 감염 경로는 혈행성 전파, 인접 감염의 직접 확산, 외상 및 수술 후 감염으로 구분됨.특히 중이염, 부비동염, 폐 감염에서의 혈행성 전파가 흔한 원인으로 작용함. 4.병원체가 뇌실질에 도달하면 국소적인 염증 반응이 시작되며 초기 국소 뇌염 단계가 형성되며, 이 단계에서 뇌 조직내에 세균 ..

공부 요약 2025.12.19

수신증 (Hydronephrosis)

1.수신증은 신장 내부에 소변이 고여 신우 및 신배가 확장되는 상태를 말함. 이는 하나의 질병이라기보다 소변 흐름이 막혔다는 신호로 이해하는 것이 더 정확하며, 초기에는 증상이 없지만 방치될 경우 신장 기능이 서서히 떨어질 수 있어 조기 발견이 매우 중요함. 2.신장은 혈액에서 노폐물을 걸려 소변을 만든 뒤, 신우 - > 신배 - > 요관 - > 방광 - > 요도 순서로 배출함.만약 이 경로 중 어느 한 곳이 막히면, 소변이 빠져나가지 못해 신장 속 압력이 올라가고, 결국 신우, 신배가 확장되면서 수신증이 발생함. 즉 수신증은 소변 정체의 결과임. 3.원인으로 상부 요로 폐색(요로결석, 요관 협착, 신장 주변 종양에 의한 압박), 하부 요로 폐색(전립선비대증, 방광경부 폐색), 기능적 원인(임신으로 인한..

공부 요약 2025.12.11

ICG R15 (Indocyanine Green test)

1.간 기능의 실질적 제거능(Hepatic clearance)을 평가하는 검사로, 특히 간 절제술 전 예후 평가, 간부전 위험도 분석, 간경변 정도 파악에 매우 중요함. 2.인도시아닌그린(ICG)은 혈중 알부민과 결합하여 순환 -> 간으로 운반, 간세포에서 능동적으로 uptake - > 담즙으로 배설, 신장, 장 등 타 기관에서는 제거되지 않음.즉 간 기능이 나쁘면 혈중 ICG가 오래 남아 R15 값이 증가함. 3. ICG R15 증가 원인으로 간세포 기능 저하, 문맥혈류 감소, 심부전으로 인한 간비대, 담즙 정체가 있음. 그러나 단순 간세포 문제만으로 판단하면 안되고 혈류역학도 같이 고려해야 함. 4.검사방법은 ICG를 정맥 주사(0.5mg/kg 정도) 주입 후 15분 뒤 혈중 ICG 농도를 측정, 초..

공부 요약 2025.12.09