



1.경막하출혈은 경막(dura mater)과 지주막(arachnoid mater) 사이 공간인 경막하강에 혈액이 고이는 상태임.
주된 출혈 원천은 교정정맥(bridging vein)으로, 이는 뇌피질의 정맥혈을 상부 시상정맥동 연결하는 구조물임.
2.외상 또는 급격한 가속, 감속으로 인해 뇌와 두개골 사이의 상대적 이동이 발생함.
이 과정에서 bridging vein이 과도하게 신장되어 파열 -> 정맥성 출혈 -> 서서히 진행되어 혈종 형성함.
3.동맥 출혈보다 압력이 낮아 출혈 속도는 느리나, 지속적인 누적 출혈로 인해 점점 혈종 크기가 증가함.
급성, 아급성, 만성 SDH 모두 동일한 출혈 기전에서 시작됨.
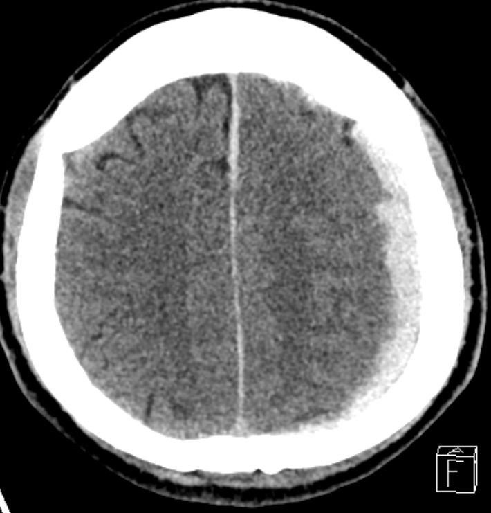
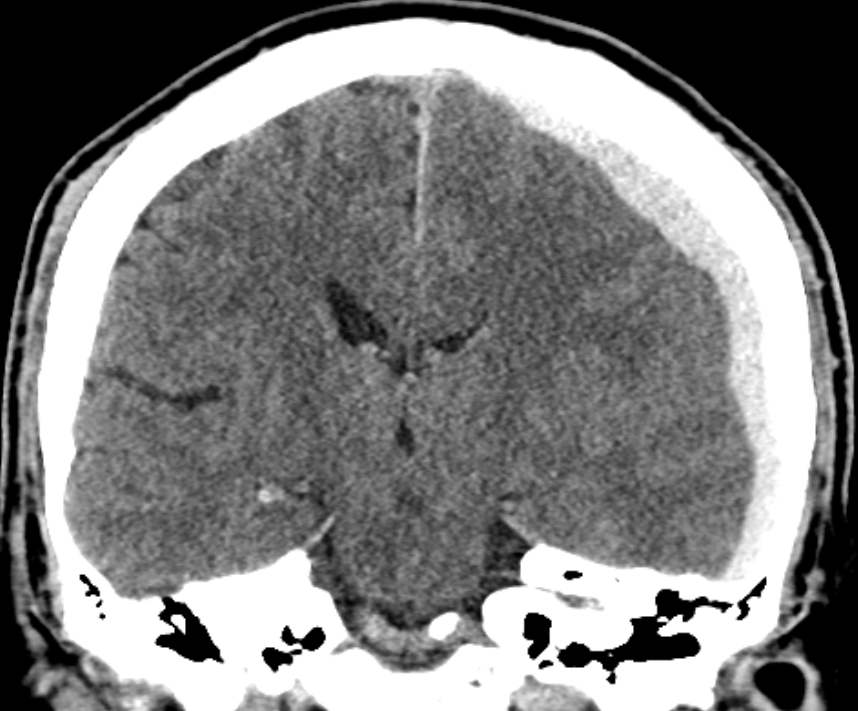
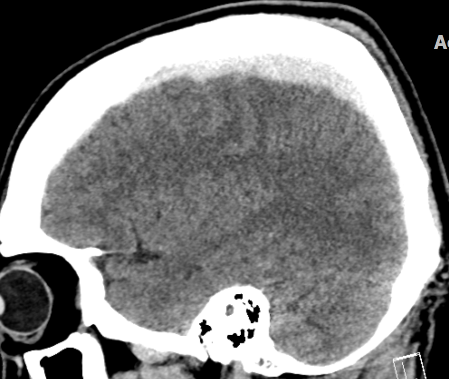
4.파열된 정맥에서 혈액이 경막하강에 고여 CT 상 반월상 형태로 나타남.
혈종이 커지면서 뇌조직 압박하고, 두개강은 밀폐공간으로 Monro-Kellie doctrine에 따라 보상 한계 초과 시
ICP 급증하여 두통, 오심 및 구토, 의식 저하 및 반응 지연, Cushing triad가 관찰될 수 있음.
5. 혈종이 특정 대뇌반구를 압박할 경우에는 병변 위치에 따라 국소 신경학적 결손이 발생함. 이는 혈종에 의해 뇌피질이 직접 압박되거나 국소 뇌관류가 감소하면서 나타남.
주요 증상으로는 편마비 또는 근력저하, 감각 저하, 실어증, 보행장애가 있음.
6.혈종이 지속적으로 증가하면 뇌 구조물이 반대편으로 밀리는 Midline shifting이 발생하며, 이는 중증 신경학적 손상의 지표로 간주함.
심한 경우 uncal herniation 또는 transtentorial herniation 으로 진행할 수 있다.
7.급성 경막하출혈은 강한 외상 직후 수시간 이내 발생하고, 대량 출혈로 인해 급격한 ICP 나타남.
8.아급성 경막하출혈은 외상 후 3일 ~ 3주, 혈액 성상이 액화되며 증상이 서서히 진행함.
9.만성 경막하출혈은 외상 후 수주 ~ 수개월, 혈종 내 섬유막을 형성함.
반복적인 미세출혈과 삼투압 효과로 혈종 점진적으로 증가하며, 고령자, 뇌위축, 항응고제 복용자에서 흔히 나타남.
10.치료의 핵심은 두개내압 조절과 혈종 제거를 위한 뇌 조직의 감압임.
11.내과적 관리로 고삼투압 투여로 뇌부종을 감소, 뇌피질 자극으로 인한 경련 방지 위해 항경련제 투여, 뇌관류압 유지를 위해 혈압 조절함.
12.외과적 수술로는 천공술, 개두술, 감압적 개두술이 있음.
천공술은 주로 만성 SDH에서 시행하며, 두개골에 작은 구멍을 뚫어 액체 상태의 혈액을 배액함.
개두술은 급성 SDH에서 혈종이 고형화되어 있거나 출혈량이 많을 때, 두개를 열어 혈종을 직접 제거함.
감압적 개두술은 뇌부종이 극심하여 뇌 탈출 위험이 높을 때, 두개골 일부를 제거하여 답지 안은 채 뇌가 팽창할 공간을 확보함.
'공부 요약' 카테고리의 다른 글
| 뇌내출혈(Intracerebral Hemorrhage) 간략히 이해하기 (0) | 2026.01.11 |
|---|---|
| 뇌교 출혈 (Pontine Hemorrhage) (0) | 2026.01.07 |
| 뇌농양 (Brain abscess) (0) | 2025.12.19 |
| 수신증 (Hydronephrosis) (0) | 2025.12.11 |
| ICG R15 (Indocyanine Green test) (0) | 2025.12.09 |