


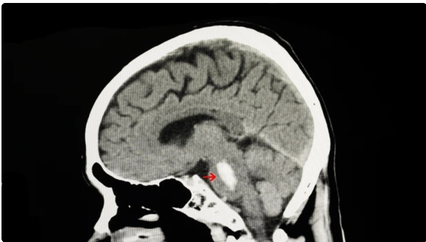
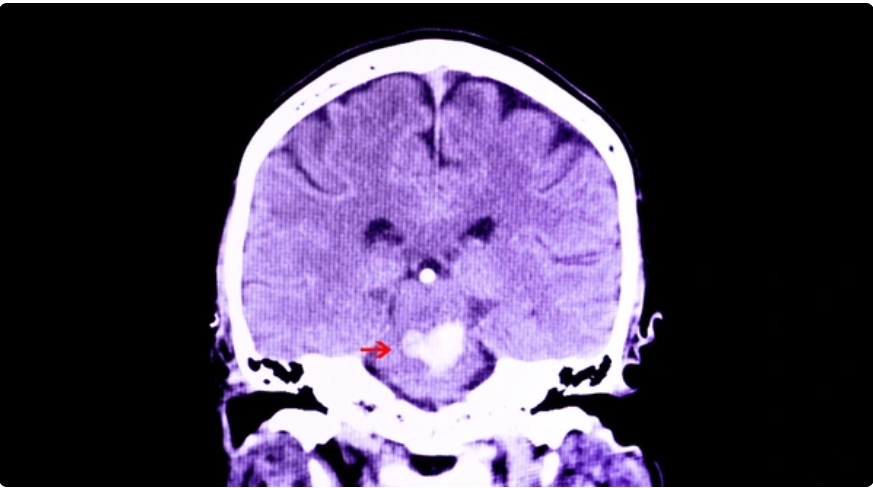
1.뇌간의 뇌교에서 발생하는 출혈로, 전체 뇌내출혈의 약 10%를 차지하지만 가장 치명적인 예후를 보이는 질환 중 하나임.
2.뇌교출혈의 가장 주된 원인은 만성 고혈압임.
3.주요 혈액 공급원은 기저동맥(Basilar artery)에서 분지되는 paramedian penetrating arteries로, 이들은 짧고 직각으로 분지되는 소동맥임.
해당 혈관은 측부 순환이 거의 없어, 파열 시 출혈이 빠르게 진행됨.
4.만성적인 고혈압으로 인해 미세 혈관벽에 지방유리증(Lipohyalinosis)이나 미세동맥류(Charcot-Bouchard aneurysm)가 형성됨.
혈관벽 탄성 감소 및 취약해져 급격한 혈압 상승 시 혈관이 파열됨. 이 기전이 뇌교출혈의 가장 흔한 원인임.
5.뇌교는 공간이 매우 제한적이며, 주위가 중요 신경핵과 상행, 하행 신경로로 밀집됨.
출혈 발생시 주변 신경조직을 압박 + 파괴하여, 소량 출혈이라도 임상적으로 치명적임.
6.뇌교에는 의식 유지에 필수적인 망상활성계가 위치하는데, 출혈이 침범하면 갑작스러운 의식저하, 혼미에서 혼수로 급격히 진행됨.
7.뇌교 및 연수와의 연접 부위 침범 시 호흡 리듬 이상, 심한 경우 중추성 호흡부전 나타남.
자율신경계 조절 장애로 혈압 불안정, 서맥 또는 빈맥이 관찰됨.
땀 분비 기능 상실 및 체온 조절 중추 연결 단절로 인해 고열이 발생함.
8.출혈 자체와 주변 뇌부종 증가로 뇌간이 압박되면 뇌실로 출혈 파급되거나 급성 폐쇄성 수두증 발생할 수 있음.
9.피질척수로 손상으로 사지마비, 안구운동 핵 및 경로 침범으로 동공 이상, 안구운동 장애가 나타남.
10.뇌교 출혈은 예후가 불량한 병태생리적인 특징을 가지고 있음.
출혈 위치 자체가 생명유지 중추이며, 혈종 크기 증가 속도가 매우 빠름.
또한, 외과적 접근 어려우며 초기 혼수, 동공 이상, 호흡부전 동반 시 사망률은 매우 높음.
'공부 요약' 카테고리의 다른 글
| 혈관성 뇌부종(Vasogenic edema) 간략히 이해하기 (0) | 2026.01.14 |
|---|---|
| 뇌내출혈(Intracerebral Hemorrhage) 간략히 이해하기 (0) | 2026.01.11 |
| 경막하출혈(Subdural Hemorrhage) (1) | 2025.12.30 |
| 뇌농양 (Brain abscess) (0) | 2025.12.19 |
| 수신증 (Hydronephrosis) (0) | 2025.12.11 |