

1.혈액과 뇌 조직 사이의 선택적 투과막인 BBB가 손상되면서, 혈관 내에 있어야 할 수분과 혈장 단백질이 뇌의 세포 사이 공간(간질)으로 유출되어 발생하는 부종임.
2.뇌내출혈, 뇌종양, 외상, 뇌농양 등의 원인으로 인해 뇌혈관 내피세포 사이의 기밀결합이 느슨해지거나 파괴됨.
출혈 시 발생하는 트롬빈이나 염증 매개 물질이 혈관 벽을 직접 공격함.
3.정상 상태에서는 통과하지 못하던 알부민과 같은 큰 분자의 단백질이 뇌 조직으로 빠져나감.
혈장 단백질이 간질로 이동하면 뇌 조직의 삼투압이 상승하여, 혈관 내의 수분을 강력하게 끌어당김.
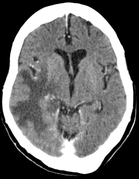
4.유출된 액체는 저항이 적은 백질의 신경 섬유를 따라 퍼짐.
MRI나 CT에서 보이는 손가락 모양 (Finger-like projection)의 부종 양상이 바로 그 때문임.
5.간질 내 수분 정체로 인해 뇌 부피가 증가하고, 이는 두개내압 상승으로 이어짐.
높아진 압력은 주변 혈관을 압박하여 뇌 혈류량을 줄이고, 결국 뇌 조직의 허혈과 세포독성 부종을 추가로 유발하는 악순환에 빠짐.
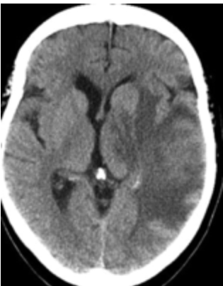
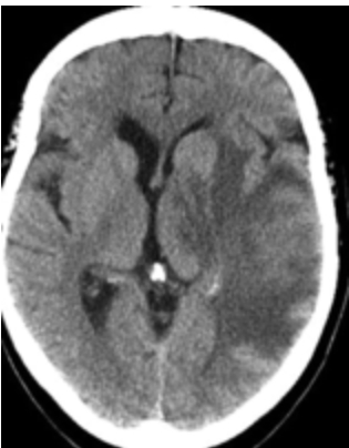
6.주요 특징으로 백질(White matter)을 따라 국소적 또는 광범위하게 발생하며, CT는 저밀도(검게), MRI T2/FLAIR : 고신호(하얗게) 보임.
7.치료로 뇌종양이나 염증성 혈관성 부종에서 스테로이드 투여하여 BBB의 투과성을 낮추고 막을 안정화시켜 유출을 막음.
삼투압 제제 투여로 혈관 내 삼투압을 뇌 조직보다 높게 만들어, 간질에 고인 수분을 혈관 안으로 다시 끌어들여 소변으로 배출시킴.
머리 30도 거상을 통해 뇌 정맥혈의 회귀를 도와 물리적으로 두개내압을 낮춤.
'공부 요약' 카테고리의 다른 글
| 세포독성 뇌부종 (Cytotoxic cerebral edema) (0) | 2026.02.05 |
|---|---|
| 혈관성 뇌부종에서 Dexamethasone을 투여 이유 (0) | 2026.01.22 |
| 뇌내출혈(Intracerebral Hemorrhage) 간략히 이해하기 (0) | 2026.01.11 |
| 뇌교 출혈 (Pontine Hemorrhage) (0) | 2026.01.07 |
| 경막하출혈(Subdural Hemorrhage) (1) | 2025.12.30 |