Cerebral Fat Embolism (CFE, 뇌 지방색전증)은 Fat Embolism Syndrome (FES, 지방 색전 증후군)의 심각한 형태로, 지방색전이 뇌혈관을 막아 신경학적 증상을 유발하는 질환입니다. 주로 장골 골절(특히 대퇴골 및 골반골), 외상, 정형외과 수술 후 발생하며, 드물게 비외상성 원인(췌장염, 지방흡입, 골수이식 등)도 있습니다.

1.병태생리
기계적 이론과 생화학적 이론 두가지로 설명됨.
1)기계적 이론 - 지방색전이 물리적으로 혈관을 막아 증상을 유발한다는 개념
주요과정
㉮골절 또는 외상 발생 - > 골수 지방 방출
· 장골 골절 시, 골수 내 지방 성분이 혈관 내로 유입됨.
· 정형외과 수술도 지방색전의 원인이 될 수 있음.
㉯폐 모세혈관 차단
· 지방 방울(Fat globules)은 상대적으로 크기가 커서 폐혈관을 먼저 막음.
· 이로 인해 폐고혈압, 가스교환장애, 폐부종 유발
㉰역설적 색전
· 정상적으로 지방색전은 폐혈관에서 걸러지지만, 다음과 같은 경우(난원공 개존중, 심방중격결손증) 전신순환으로 유입될 수 있음.
· 심장 기형이 있으면 지방색전이 우심방 - > 좌심방을 통해 전신순환으로 들어가, 뇌, 신장, 피부 등에 다발성 색전을 형성함.
·이런 경우 지방색전증이 직접 발생 가능함.
㉱뇌혈관 색전 형성
· 지방색전이 뇌의 미세혈관에 걸려 허혈과 출혈을 유발.
· 신경학적 증상(의식저하, 혼수, 신경학적 장애) 유발
2)생화학적 이론 - 지방산(Free fatty acids,FFA)과 관련된 생리적 변화가 혈관 내피세포 손상 및 혈액응고를 유발한다는 개념.
주요과정
㉮지방 방출 및 지방산 독성
· 외상 후 혈액 내 지방산 급격히 증가
· 지방산은 혈관 내피세포에 직접적인 독성을 일으켜 손상 및 혈관 투과성을 증가시킴.
· 이 과정이 특히 뇌모세혈관에서 심하게 발생하여 뇌부종 및 미세출혈 유발함.
㉯염증 반응 및 혈액응고 활성화
· 지방산이 염증 매개물질을 유리시켜 전신 염증 반응을 촉진
· 혈고판 활성화 및 응집 - > 미세색전 형성 - > 미세순환장애
· 결국 DIC(Disseminated intravascular coagulation, 파종성 혈관내 응고) 유발 가능.
㉰뇌혈관장벽 손상
· 지방산의 독성 및 염증 반응으로 인해 BBB가 손상됨.
· 뇌부종, 점상출혈, 허혈성 손상 발생
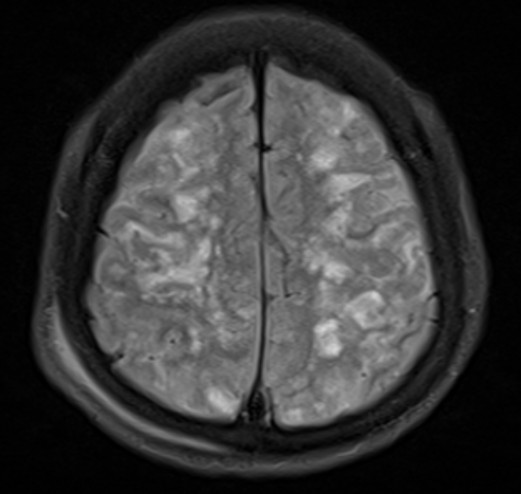
· MRI에서 "Starfield pattern (뇌 곳곳에 작은 색전이 흩어진 별 모양) " 보이는 특징적인 뇌 병변이 나타남.
2.증상
1)신경학적 증상
㉮혼돈, 의식저하, 혼수
㉯경련
㉰편마비, 실어증 등의 국소 신경학적 증상
2)기타 동반 증상
㉮호흡곤란
㉯점상출혈, 특히 상반신과 결막
㉰빈맥, 발열, 빈호흡
3.치료
㉮산소 공급 - 저산소증 예방
㉯혈역학적 안정 유지 - 수액공급, 저혈압관리
㉰코르티코스테로이드 사용 - 논란이 있으나, 일부 연구에서 효과 보고됨.
㉱ DVT 예방 - 조기 운동, 항응고제 고려
㉲정신상태 변화 감시 - 신경학적 모니터링
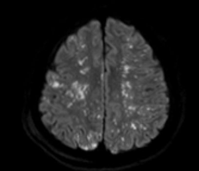
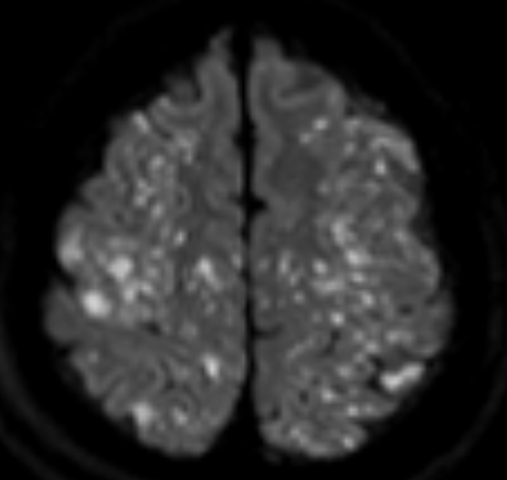
4.주요 MRI 소견
1) Starfield pattern (별자리 패턴)
· DWI에서 고강도 신호가 다발성으 나타남.
· 미세색전이 뇌의 회백질(gray matter) 과 백질(white matter) 에 광범위하게 분포.
· 해당 패턴은 CFE의 대표적인 소견이며, 매우 특징적인 영상 소견!

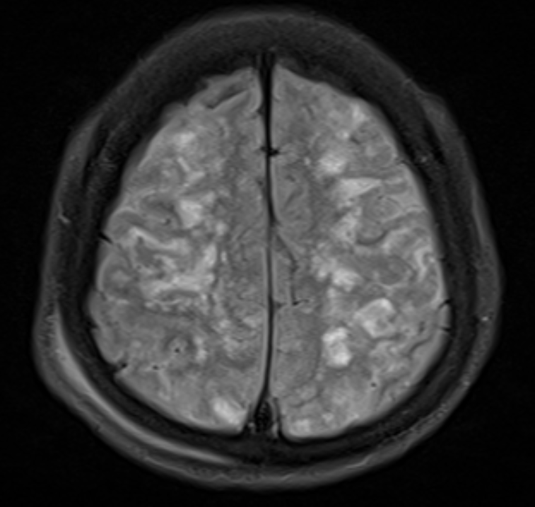
2)T2/FLAIR에서 미세출혈 및 부종 소견
· T2 및 FLAIR에서 뇌부종 소견이 관찰됨.
· 특히 기저핵(basal ganglia), 피질하백질(subcortical white matter), 시상(thalamus)에 병변이 잘 나타남.
· 일부 환자에서는 FLAIR에서 점상출혈이 보일 수 있음.

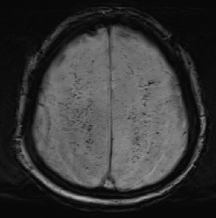
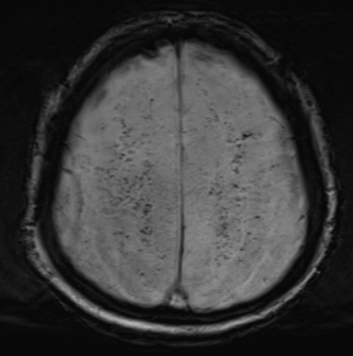
3)SWI(Susceptibility-weighted Imaging)에서 미세출혈 증가
· SWI에서 미세출혈이 잘 보이는 경우가 많음.
· 주로 피질하(subcortical), 시상, 뇌간(Brainstem) 부위에서 점상출혈 형태로 나타남.

4)Perfusion MRI에서 혈류 저하
· 일부 환자에서는 관류영상에서 국소적인 저혈류가 발견됨.
· 이는 색전으로 인한 미세혈관 폐색과 관련됨.
'공부 요약' 카테고리의 다른 글
| 당뇨병성케톤산증(DKA, Diabetic Ketoacidosis) (2) (0) | 2025.03.16 |
|---|---|
| 당뇨병성케톤산증(DKA, Diabetic Ketoacidosis) (1) (0) | 2025.03.15 |
| CRRT Mode - 2편 (0) | 2025.03.09 |
| CRRT 기본 - 1편 (0) | 2025.03.08 |
| 뇌경색 환자의 지속적인 고혈압의 원인과 병태생리 (0) | 2025.03.04 |