



1.정의
Toxic megacolon은 염증성 장질환(특히 궤양성 대장염) 또는 감염성 대장염(C.difficile)의 합병증으로 결장의 횡행 또는 하행부가 직경 6cm 이상으로 확장되고, 전신 중독 증상이 동반되는 상태를 말함.
치죠 지연 시 천공 - > 복막염 - > 패혈증/쇼크로 진행
2.원인
| 분류 | 주요원인 |
| 염증성 | 궤양성 대장염, 크론병 |
| 감염성 | C.difficile, Salmonella, Shigella, CMV colits |
| 허혈성 | 대장 허혈로 인한 염증, 괴사 |
| 약물성 | 항콜린제, 아편제, 항경련제 등 장운동 억제 약물 |
| 기타 | 장폐색, 대장암, 전해질 이상(저칼륨혈증) |
3.병태생리
염증 반응으로 인해 대장 벽이 손상되고, 근육층이 마비되어 장운동이 감소됨.
가스와 장 내용물이 축적되어 결장이 확장됨.
장벽의 허혈 및 괴사 - > 세균과 독소가 혈류로 이동 - > 패혈증 발생
최정적으로 장 천공 및 복막염으로 진행할 가능성 매우 높음.
4.임상증상
- 심한 복부 팽만감 및 복통
- 고열
- 빈맥
- 혈압 저하
- 심한 설사
- 정신 혼돈, 탈수
- 청진 시 장음 감소 또는 소실
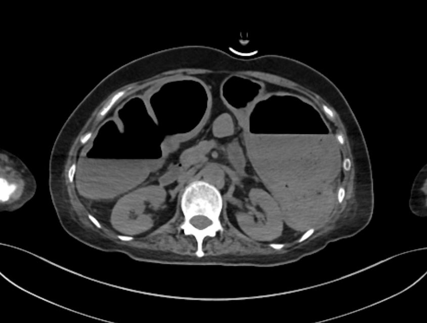
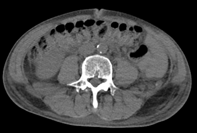
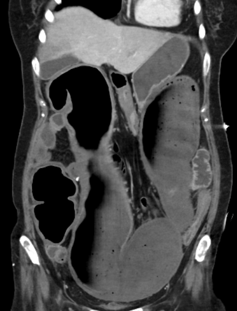
5.진단
| 구분 | 주요 내용 |
| 복부 X-Ray | 횡행결장 직경 > 6cm, 가스팽창, 장벽 얇아짐 |
| CT | 장벽 비후, 염증 확산, 청공 여부 확인 |
| 혈액검사 | 백혈구 증가, CRP 상승, 전해질 불균형 |
| 대변검사 | C.difficile toxin, 세균성 감염 확인 |
6.치료
보존적 치료 (초기 및 청공 없을 경우)
- NPO 및 위,장관 감압
- 수액 치료로 전해질 및 체액 보충
- 광범위 항생제 (예 : Ceftriaxone + Metronidazole)
- 스테로이드 정주 (염증성 장질환 원인시)
- Opioid, 항콜린제 금지
수술적 치료
- 전대장절제술 + 회장루
- 공이나 패혈증 동반 시 응급 개복술
반응형
'공부 요약' 카테고리의 다른 글
| 뇌실염 (Ventriculitis) (0) | 2025.12.07 |
|---|---|
| 심근기절(Myocardial Stunning) (1) | 2025.11.10 |
| 동정맥기형(AVM) 및 이미지 포함 (3) | 2025.08.08 |
| THRA vs BPHA 수술 차이 (0) | 2025.06.30 |
| IV PCA vs Epidural PCA (0) | 2025.06.03 |