

고관절 수술, THRA와 BPHA의 차이점은 ? 비구 교체 여부
고관절 수술에는 대표적으로 THRA(Total Hip Replacement Arthroplasty)와 BPHA(Bipolar Hemiarthroplasty)가 있다.
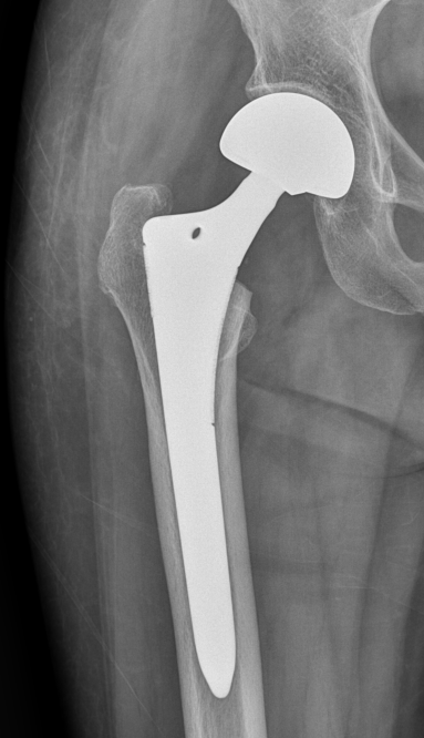
두 수술의 가장 큰 차이점은 인공관절을 치환하는 범위에 있다.
- BPHA는 비구(Acetabulum)를 그대로 두고, 대퇴골두(Femoral Head)만 인공관절(대퇴주대)로 치환하는 수술이다.
- THRA는 비구와 대퇴골두 모두를 인공관절로 치환하는 수술로, 관절 전체를 교체하는 방식이다
대퇴골두를 제거하고 금속 대퇴 주대(Stem)를 대퇴 골수강에 시멘트로 충전하거나 시멘트 없이 단단히 끼워넣어 고정한다.
대퇴 주대 상단에 금속 또는 세라믹형 볼을 끼워 대퇴골두를 대신하게 하며, 손상받은 비구 관절연골을 제거하고 금속 소켓인 비구컵을 비구에 끼어 넣는다. 때로는 금속나사를 이용하여 비구컵을 고정하기도 한다.


왜 대퇴골두가 괴사할까? 혈액 공급 문제
고관절의 대퇴골두는 다음 두 가지 주요 혈관을 통해 혈액을 공급받는다.
- Medial circumflex femoral artery (내측 회선 대퇴동맥)
- Lateral circumflex femoral artery (외측 회선 대퇴동맥)
이 혈관들은 대퇴골두에 산소와 영양분을 공급하는 중요한 통로인데, 외상이나 만성 질환 등으로 인해 이 혈관들이 손상되면 혈류 공급이 차단되고, 그 결과로 AVN(Avascular Necrosis, 무혈성 괴사) 발생한다.
AVN이 발생하면 어떤 일이 벌이 벌어질까 ? 뼈의 괴사
AVN이 발생하면 대퇴골두의 뼈가 혈액 공급을 받지 못하게 되어 결국 괴사가 진행된다.
뼈를 정렬해 맞추더라도 혈관이 손상된 상태에서는 회복이 어려워, 결국 관절이 붕괴되고 기능이 잃게 된다.
- 고령자나 활동량이 적은 경우 - > BPHA
- 젋고 활동량이 많은 환자, 비구 손상 동반 - > THRA
반응형
'공부 요약' 카테고리의 다른 글
| 독성 거대결장 (Toxic megacolon) (0) | 2025.10.21 |
|---|---|
| 동정맥기형(AVM) 및 이미지 포함 (3) | 2025.08.08 |
| IV PCA vs Epidural PCA (0) | 2025.06.03 |
| TKRA vs PROSTALAC(Prosthesis of Antibiotic-Loaded Acrylic Cement) X-ray (0) | 2025.06.01 |
| whipple's op 산도스타틴(octreotide acetate) 투여 목적 (0) | 2025.05.11 |