동정맥기형(AVM)은 동맥과 정맥이 모세혈관을 통과하지 않고 비정상적으로 직접 연결된 혈관 덩어리를 말한다. 이러한 기형에서는 동맥혈이 주변 조직에 산소와 영양분을 공급하지 못하고 바로 정맥으로 유출되므로, 주변 뇌조직의 저산소증과 허혈을 초래할 수 있으며, 특히 뇌에 발생한 뇌동정맥 기형은 높은 동맥압이 직접 정맥으로 전달되어 정맥벽이 약해지고 파열 위험이 커지며, 파열 시 뇌출혈을 일으켜 심각한 신경학적 손상을 초래할 수 있다.
AVM은 중심부에 동맥과 정맥이 뒤얽힌 혈관누두를 형성하며, 영양동맥의 근육층은 약하고 배출정맥은 지속적인 고속 혈류로 확장되어 있는 것이 특징이다.
구조적 이상 때문에 AVM에서는 세 가지 주요 문제가 발생
첫째, 약한 혈관이 쉽게 파열되어 거미막하강, 뇌실내, 또는 뇌 실질내 출혈을 일으킬 수 있다.
둘째, 출혈이 없더라도 혈관 덩어리가 뇌를 압박하거나 정맥 고혈압을 유발하여 발작(seizure)을 비롯한 신경 증상을 일으킬 수 있다.
셋째, AVM으로 혈류가 우회되면서 정상 뇌조직의 혈류공급이 감소하는 이른바 훔침 현상(steal phenomenon)으로 인해 서서히 진행하는 신경학적 결손이 나타날 수 있다 .
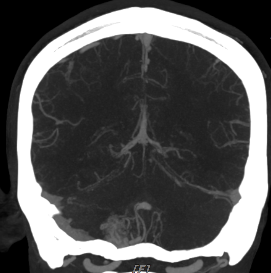
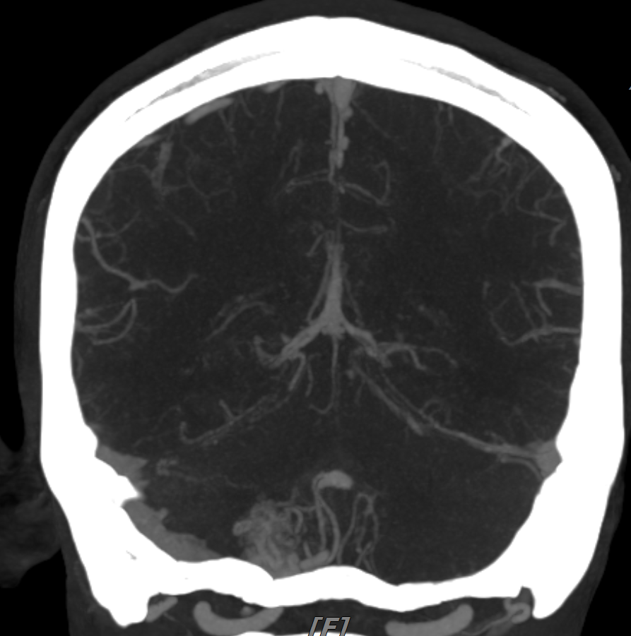
진단방법
조영증강 CT나 CTA(CT angiography)을 시행하면 “뒤엉킨 벌레뭉치(bag of worms)” 같은 특징적 조영 패턴 나타난다.
치료
1. 개두 수술적 절제
2. 혈관 내 색전술
3. 방사선 수술



반응형
'공부 요약' 카테고리의 다른 글
| 심근기절(Myocardial Stunning) (1) | 2025.11.10 |
|---|---|
| 독성 거대결장 (Toxic megacolon) (0) | 2025.10.21 |
| THRA vs BPHA 수술 차이 (0) | 2025.06.30 |
| IV PCA vs Epidural PCA (0) | 2025.06.03 |
| TKRA vs PROSTALAC(Prosthesis of Antibiotic-Loaded Acrylic Cement) X-ray (0) | 2025.06.01 |