



1.뇌실염은 단순히 CSF에 균이 들어가는 감염이 아니라 EVD, Shunt와 같은 기계 표면에서 시작 - > CSF 공간 전체 염증 - > 뇌실 폐색 - > ICP 상승이라는 연속적 병리 과정을 가짐.
2.EVD, VP shunt 표면에 균 부착되면 세포 외 점액을 분비해 biofilm을 형성함.
Biofilm 특징
1)항생제 투과 x -> 최소 억제농도 이상의 농도도 무력화
2)면역세포 접근 불가
3)세균이 low metabolic state로 변화 - > 배양에서 잘 안 자랄수 있음.
3.Biofilm에서 떨어져 나온 세균이 CSF로 유입되어 증식 및 CSF의 특성 때문에 감염이 빠르게 확산됨.
CSF 특성
1)단백질/보체 등이 적어서 면역반응이 약함.
2)백혈구의 이동이 느림
3)CSF 순환이 막히면 세균이 한 곳에 정체되며 증식
4.뇌실 벽을 이루는 뇌실벽 세포에 염증이 발생함. 이 시점부터 발열, 두통, 의식저하, ICP 상승 나타나기 시작함.
5.세균 + 면역세포 + 단백질 + necrotic cell들이 쌓여 덩어리를 생성함. MRI FLAIR에서 저류층이 관찰됨.
Debris가 CSF 흐름 통로를 막아 급성폐색수두증을 발생시키며, ICP 상승으로 Cushing triad 관찰됨.
6.CSF Chemistry 변화가 나타남.
세균, 면역세포가 glucose 소비, 염증으로 BBB 투과성 증가로 혈액에서 CSF로 glucose 운반하는 능력이 저하됨.
뇌실막 손상, BBB 파괴 및 염증세포 죽어서 단백질 증가
세균의 혐기성 대사 및 뇌조직 Hypoperfusion 시 복합 상승
7.뇌실막 세포 손상으로 내막 탈락되며, 뇌실 주변 백질에 edema 발생함.
치료 지연 시 지속적 신경학적 후유장애가 발생
8.증상으로 발열, 두통, 의식저하, 경부강직, ICP 상승 징후, EVD 배액액 변화, 신경학적 결손이 나타남.
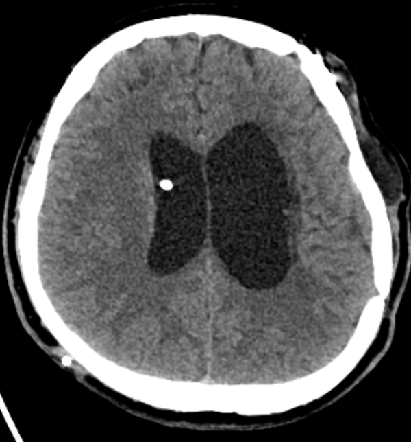
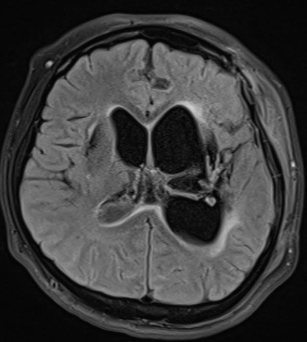
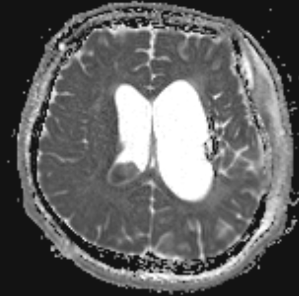
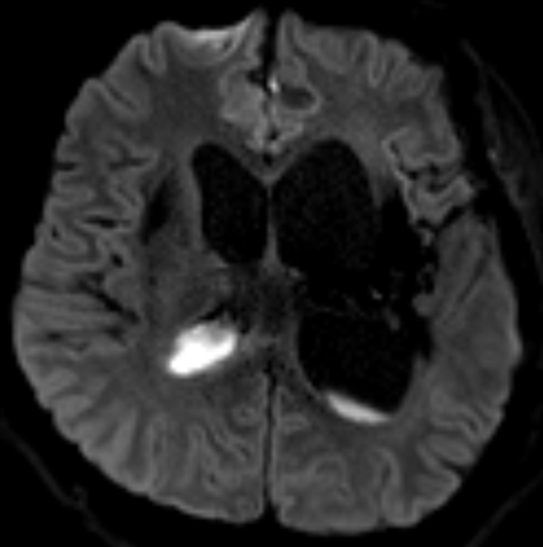
9.MRI에서 나타나는 대표소견 아래와 같이 나타남.
FLAIR : intraventricular debris layering
T1 contrast : ependymal enhancement
DWI : restricted diffusion (pus)
Hydrocephalus
10.뇌실염은 발열, 의식저하, 두통, CSF 이상 등 다양한 신경계 감염과 유사한 임상 양상을 보여 정확한 감별이 중요함.
세균성 수막염과 가장 흔히 혼동되는 질환이다.
수막염은 주로 뇌수막 염증이 중심, 뇌실염은 뇌실막 염증이 중심으로 구분함.
뇌실염 MRI에서 ependymal enhancement + intraventricular debris 가 특징적, EVD 및 Shunt 삽입력이 있으면 뇌실염 가능성이 훨씬 높음.
11.뇌실염은 의료기기가 감염의 주요 진입 통로가 되기 때문에 원인균의 분포가 매우 특이하다.
대부분의 균인 피부 상재균, 병원성 그람음성균, Bilfilm 형성균이라는 점이 특징임.
12. Coagulase-negative Staphylococci (S. epidermidis) 뇌실염에서 가장 흔하게 분리되는 균으로 전체 50% 이상 차지함.
Staphylococcus aureus (MRSA 포함), Pseudomonas aeruginosa,Klebsiella spp 순이다.
13.뇌실염 치료는 크게 항생제, Intraventricular therapy, EVD 교체로 구성된다.
경험적 항생제로 Vancomycin + (Cefepime / Ceftazidime / Meropenem)
Intraventricular 항생제 투여는 CSF로 약물이 충분히 전달되지 않는 경우 사용한다. (Vancomycin 5–20 mg/day, Gentamicin 1–8 mg/day, Colistin 10 mg/day)
Biofilm 때문에 기존 EVD는 감염원을 완전히 제거할 수 없어 EVD 교체는 치료의 핵심 중 하나이다.
'공부 요약' 카테고리의 다른 글
| 수신증 (Hydronephrosis) (0) | 2025.12.11 |
|---|---|
| ICG R15 (Indocyanine Green test) (0) | 2025.12.09 |
| 심근기절(Myocardial Stunning) (1) | 2025.11.10 |
| 독성 거대결장 (Toxic megacolon) (0) | 2025.10.21 |
| 동정맥기형(AVM) 및 이미지 포함 (3) | 2025.08.08 |