

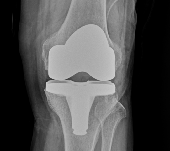
Prostalac은 감염된 인공관절을 제거한 뒤 감염을 치료하면서 환자가 일정 부분 관절을 사용할 수 있도록 항생제 방출하며 감염 치료를 돕는 항생제 함유 관절스페이서를 뜻함.
적응증
1)인공관절 감염
2)통상적으로 2단계 인공관절 재치환술 시행 시 사용
장점
1)관절 운동 유지, 근위축과 구축 방지
2)국소 항생제 농도 높여 감염 치료
3)최종 인공관절 재치환 시 유리한 환경 제공
단점
1)장기적 사용 불가 - 내구성이 떨어짐
2)감염 치료가 안되면 추가 수술 필요
반응형
'공부 요약' 카테고리의 다른 글
| THRA vs BPHA 수술 차이 (0) | 2025.06.30 |
|---|---|
| IV PCA vs Epidural PCA (0) | 2025.06.03 |
| whipple's op 산도스타틴(octreotide acetate) 투여 목적 (0) | 2025.05.11 |
| 일시적 심박동기(Temporary pacemaker) (0) | 2025.04.10 |
| Blood blister aneurysm(혈관물집뇌동맥류) (0) | 2025.03.25 |