C.C : General weakness
상기환자 내원 3~4일전부터 전신허약감 있어 Local병원 내원하여 시행한 검사상 CRP 33.51, Cr 5.1, SBP 60대
Abd CT 상 liver abscess 의심되는 소견 보여 further evaluation 위해 ER통해 전원옴. (뇌전증 환자였음..)
pus c/s 결과 : Klebsiella pneumoniae ssp. pneumoniae
blood c/s x 3 : No growth
시행검사.
EKG(P) : Sinus rhythm
Chest PA : Consolidation at RLLF.
Both pleural effusion.
Drain catheter insertion at right thorax.
Simple abdomen(S) : unremarkbale
DS Liver Abscess Drainage : Right lateral intercostal space를 통하여 18G needle로 hepatic abscess을 천자하였고 guideiwre삽입함. Guidewire 따라 8.5F pigtail drainage catheter를 삽입함. Pus 40cc배액함.
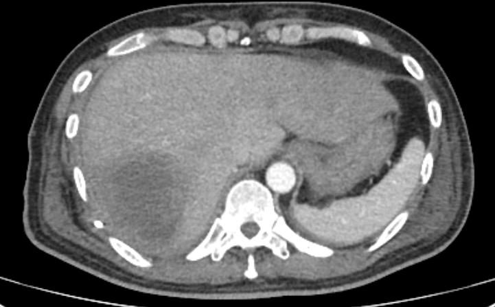
Liver Dynamin MDCT(E)
1.Incorrect position of Rt. PCD tube
2.About 7.5cm soap-bubble appearanced pyogenic hepatic abscess, Rt.lobe, S7
--small perihepatic complicated fluid collection
--large amount of Rt. pleural effusion with atelectasis, subcutaneous edema.
--rec)PCD change
3.Small ascites in the pelvis, significant amount of both hydrocele.
4.Reactive GB wall edema.
5.Lt. inguinal fat hernia.
Dx
#. septic shock d/t r/o liver abscess
#. septic AKI
| 구분 | 약품명 | 효능/효과 | 용량/용법 | 성분명 | 부작용 |
| IV | PSA 1L | 순환혈액량 및 조질간액의 감소시 세포외액의 보급 | 40cc/hr | Magnesiumv Potassium Sodium |
급속투여에 의해 뇌부종, 폐부종,말초부종,대사성 알칼리증 |
| IV | Newdizime 1g | 패혈증, 담낭염, 담관염, 간농양, 복막염 | TID | Cefodizime sodium | 발진, 발열, 단백뇨, 가려움 |
| IV | Trizel 500mg | 패혈증 및 균혈증, 뇌농양, 골반농양 | TID | Metronidazole | 혈청아밀라아제 상승, 상복부통, 구역, 구토, 설사 |
| IV | Levofloxacin 500mg | 담낭염, 담관염, 급성신우신염,방관염 | BID | Levofloxacin | 쇼크, 심계항진, 불면, 어지러움 |
| IV | Gentamicin 80mg | 패혈증, 중추신경계 감염증, 요로감염, 위장관감염 | Qd | Gentamicin | 가려움, 발진, 발열, 구토, 식욕부진 |
| IV | Liversol 500ml | 급, 만성 간장애에 의한 뇌증의 개선, 아미노산 보급 | 20cc/hr | Glycine, L-Alanine 외 | 구역, 구토, 흉부불쾌감, 심계항진, 빈맥 |
| IV | Norpin 4mg | 급성 저할압 또는 쇼크의 보조 치료, 심정지 보조치료 | 10cc/hr | Norepinephrine Bitartrate | 심계항진, 서맥, 심부정맥, 두통, 어지러움 |
| IV | Normal 500ml | 수분 및 전해질 결핍시의 보급, 주사제의 용해 희석제 | 20cc/hr | Sodium Chloride | 울혈성 심부전, 부종, 산증, 혈청 전해질 이상 |
| IV | Acetphen 1g | 중등도의 통증의 단기간 치료, 발열의 단기간 치료 | Prn | Acetaminophen | 권태감, 저혈압, 무과립구증, 호중구 감소증 |
| IV | Caldolor 400mg | 중등고 및 중증 통증 조절을 위한 마약성 진통제의 보조요법, 해열 | Prn | Ibuprofen | 쇼크, 오한, 호흡곤란, 혈압저하, 빈혈, 혈소판감소 |
| Po | Rowachol 100mg |
담석증, 담석 수술 후 결석 재발방지 | TID | Bomeol, Cineole 외 | 트림, 구역, 구토 |
| Po | Lacidofil 20mg | 장내 세균총 이상의 회복 및 정상화 | BID | Lactobacillus Rhamnosus | 구역, 구토, 설사 |
| Po | Norzyme 457.7m | 외분비췌장효소장애, 만성췌장염, 낭성섬유증, 위장관수술 후 , 췌장절제술 후 소화장애 | TID | Pancreatin Enteric |
복통, 변비, 설사, 오심, 구토 |
| Po | Penzal 8Hours ER 650mg | 중등도의 통증의 단기간 치료, 발열의 단기간 치료 | TID | Acetaminophen | 권태감, 저혈압, 무과립구증, 호중구 감소증 |
| Self PO | 콜리티린 정 | 뇌혈관 결손에 의한 2차 증상 및 변성 또는 퇴행성 뇌기질성 정신증후군 | Qd | Choline Alfoscerate | 위염, 졸음, 불면, 적개심, 신경질, 경련 |
| Self PO | 데파코트 500mg |
단순결신성 발작 및 혼합결신성 발작 치료의 단독 요법 및 보조요법 | BID | Divalproex | 두통, 무력, 발열, 구역, 구토 |
| Self PO | 클로나제팜 0.5mg |
간질 및 부분발작, 원발성 및 2차적으로 전신화된 강직간대발작 | Qd | Clonazepam | 졸음, 어지러움, 진전, 공격적행동 |
| Self PO | 토파메이트 | 뇌전증, 2차성 전신발작을 동반하거나 동반하지 않은 부분발작 치료 | Qd | Topiramate | 피로, 무력증, 흉통, 하지통 |
| Self PO | 하나페노바르비탈 30mg | 뇌전증, 뇌전증중첩상태 | Qd | Phenobarbital | 발진, 호흡억제, 혈소판 감소, 황달 |
| Self PO | 가바틴 100mg | 뇌전증, 신경병증성 통증 | Qd | Gabapentin | 복통, 요통, 피로, 열, 두통 |
| Self PO | 알게론 500mg | 위, 십이비장궤양, 위염, 위산과다, 속쓰림 | BID | Almagate | 변비, 설사, 구역, 구토 |


'케이스스터디 자료수집' 카테고리의 다른 글
| Urine analysis 양식 (0) | 2025.09.02 |
|---|---|
| ABGA 양식 (1) | 2025.08.03 |
| Chemistry 양식 (3) | 2025.08.03 |
| Hematology 양식 (2) | 2025.08.03 |