

1.뇌농양은 세균 또는 진균 감염으로 인해 뇌실질 내에 국소적으로 고름이 형성된 상태를 의미함.
이는 단순 감염이 아닌 염증, 괴사, 부종, 압박이 복합적으로 작용하는 중추신경계 감염 질환임.
2.정상적인 뇌는 BBB에 의해 병원체 침입으로부터 보호됨.
균혈증, 인접 감염, 외상 등의 상황에서는 혈액-뇌 장벽이 손상되어 병원체 침투가 가능해짐.
이로 인해 세균이 혈행성 또는 직접적으로 뇌실질에 도달하게 됨.
3.뇌농양의 주요 감염 경로는 혈행성 전파, 인접 감염의 직접 확산, 외상 및 수술 후 감염으로 구분됨.
특히 중이염, 부비동염, 폐 감염에서의 혈행성 전파가 흔한 원인으로 작용함.
4.병원체가 뇌실질에 도달하면 국소적인 염증 반응이 시작되며 초기 국소 뇌염 단계가 형성되며, 이 단계에서 뇌 조직내에 세균 증식과 면역 반응이 활발히 일어남.
5.염증 반응으로 모세혈관 투과성이 증가하면 혈관성 뇌부종이 발생함.
혈장 성분이 뇌 조직으로 누출되어 국소적인 부종과 압력이 증가함.
6.호중구와 대식세포가 감염 부위로 침윤하여 염증 매개 물질을 분비하여 주변 뇌세포 손상이 가속화되고 염증 범위가 확대됨.
7.염증이 지속되면 감염 중심부의 뇌 조직이 괴사되기 시작하며, 산소 공급 저하와 세포 손상으로 인해 뇌세포가 점차 파괴됨.
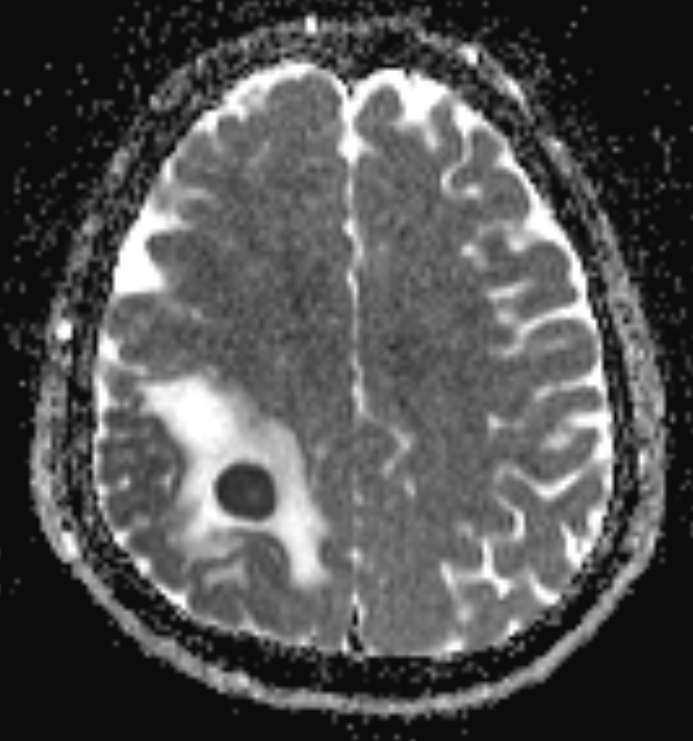
8.괴사된 조직, 백혈구, 세균이 혼합되면서 점도가 높은 농이 형성되고, 국소적인 고름 주머니가 만들어지며 병변의 용적이 증가함.
9.시간이 경과함에 따라 농양 주위로 섬유아세포와 교세포가 증식하여 피막이 형성됨.
피막은 감염 확산을 억제하는 방어기전이지만, 동시에 병변을 고형화함.
10.피막화된 농양은 종괴 효과를 유발하여 인접 뇌조직을 압박함.
압받받은 부위에 따라 편마비, 실어증, 감각 이상 등의 국소 신경학적 증상이 나타남.
11.농양과 주변 광범위한 뇌부종으로 인해 두개내압이 상승하고, 병변의 크기 증가가 직접적인 압력 상승으로 나타남.
12.두개내압 상승은 뇌관류압 감소를 초래하여 뇌 조직의 혈류를 저하시키고, 국소적 또는 전반적인 뇌 허혈이 발생함.
13.허혈 상태가 지속되면 신경세포의 비가역적 손상이 발생하여 영구적인 신경학적 결손이 남을 수 있음.
14.농양이 뇌실이나 지주막하강으로 파열될 경우, 뇌실염 또는 화농성 수막염으로 진행되어 급격한 임상 악화를 초래할 수 있음.
15.뇌농양의 pus에서는 감염 경로와 원발 병소에 따라 다양한 병원균이 동정됨.
대부분 혼합 감염이며, 혐기성 균이 동반되는 경우가 많음.
16.그람양성균 Staphylococcus aureus, Streptococcus species, 그람음성균 Enterobacteriaceae, Pseudomonas aeruginosa, 혐기성균 Bacteroides species, Fusobacterium, Peptostreptococcus 동정됨.
17.뇌농양 치료는 항생제 치료와 수술적 치료를 병행하는 것이 원칙이고 치료 목적은 감염 제거, 두개내압 감소, 신경학적 손상 예방임.
18.진단 즉시 광범위 경험적 항생제를 정맥 투여함.
대표적인 경험적 항생제 조합은 3세대 세팔로스포린, Metronidazole, Vancomycin이다.
19.배양 결과 확인 후에는 원인균에 맞춰 항생제를 조정하고, 치료 기간은 보통 6 ~ 8주간 정맥 투여가 필요함.
20.농양 크기 2.5 ~ 3cm 이상, 두개내압 상승이 심한 경우, 항생제 치료에 반응이 없는 경우, 진단적 목적인 경우 수술적 배액 또는 제거술을 고려함.
21.보조 치료로 두개내압 상승 시 삼투성 이뇨제, 필요시 스테로이드 사용을 고려하며, 발작 위험이 높아 항경련제 투여가 흔히 병행됨.
'공부 요약' 카테고리의 다른 글
| 뇌교 출혈 (Pontine Hemorrhage) (0) | 2026.01.07 |
|---|---|
| 경막하출혈(Subdural Hemorrhage) (1) | 2025.12.30 |
| 수신증 (Hydronephrosis) (0) | 2025.12.11 |
| ICG R15 (Indocyanine Green test) (0) | 2025.12.09 |
| 뇌실염 (Ventriculitis) (0) | 2025.12.07 |