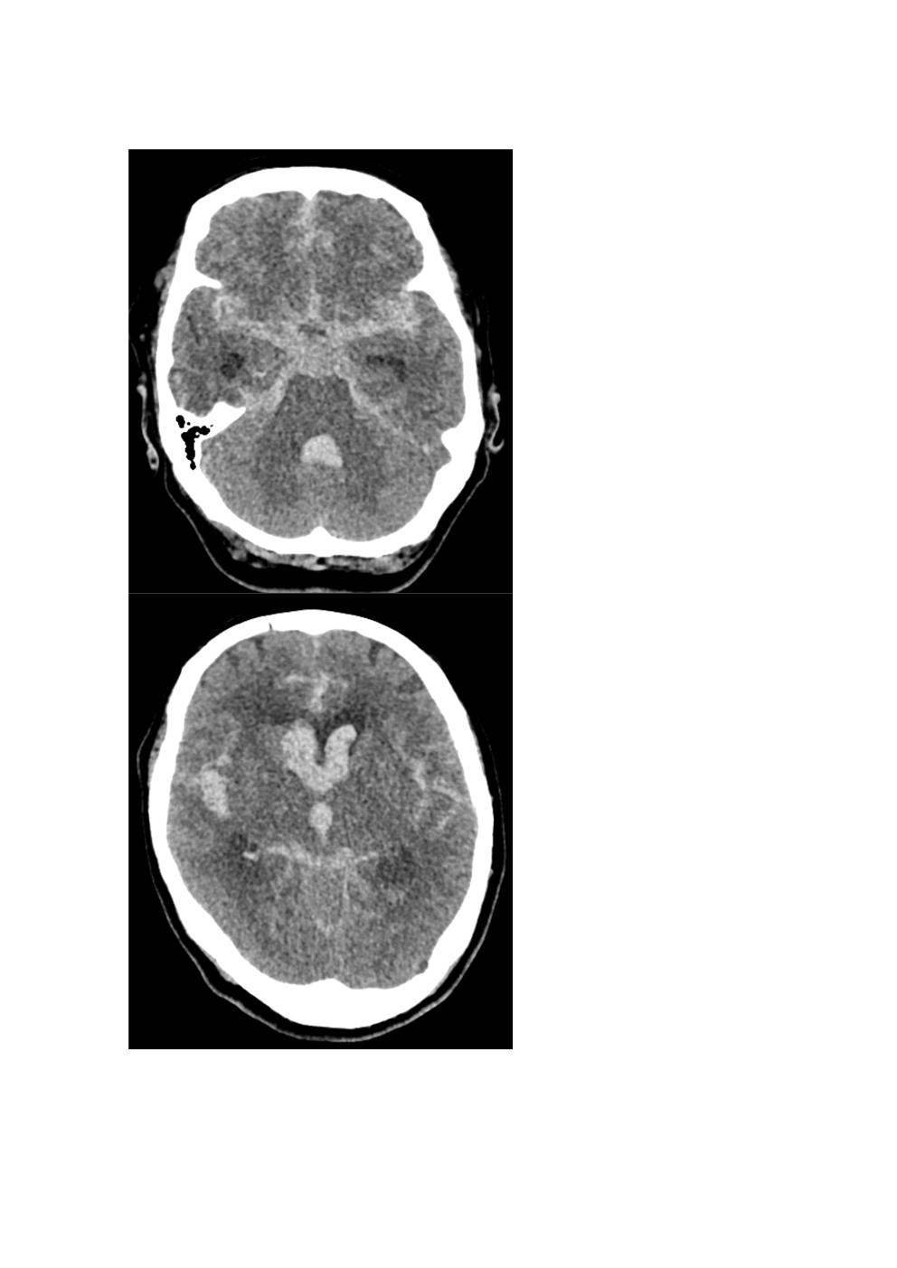
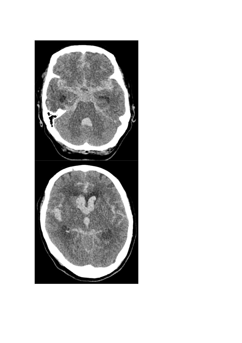
지주막하출혈(Subarachnoid Hemorrhage, SAH)의 중증도를 평가하는 대표적인 척도로 Fisher Grade와 Hunt and Hess Scale이 있습니다. 두 척도는 각각 출혈의 양과 환자의 신경학적 상태를 평가하는 데 사용됩니다.

1. Fisher Grade
- 뇌 CT(Computed Tomography) 영상에서 출혈의 양과 분포를 기준으로 SAH의 중증도를 평가하는 척도입니다.
- Fisher 등급이 높을수록 뇌혈관연축(Cerebral Vasospasm)의 위험이 증가합니다.
Fisher Grade출혈 특징뇌혈관연축 위험
| Grade 1 | 출혈 없음 | 낮음 |
| Grade 2 | 1mm 이하의 얇은 지주막하 출혈 | 중간 |
| Grade 3 | 1mm 이상의 두꺼운 지주막하 출혈 | 높음 |
| Grade 4 | 뇌실 내 출혈(IVH) 동반 또는 심한 SAH | 매우 높음 |
- 의의: Fisher Grade는 뇌혈관연축(Vasospasm) 발생과의 연관성을 평가하는 데 유용하며, 치료 계획을 세우는 데 도움을 줍니다.
2. Hunt Hess Scale
- SAH 환자의 임상 증상을 기반으로 예후를 예측하는 척도입니다.
- 숫자가 클수록 예후가 나쁘며, 사망률이 증가합니다.
Hunt Hess 등급 임상적 특징
| Grade 1 | 무증상 또는 경미한 두통, 약간의 목 경직 | 좋은 예후 |
| Grade 2 | 중등도 두통, 심한 목 경직, 뇌신경 마비 없음 | 양호한 예후 |
| Grade 3 | 기면(drowsiness), 경미한 신경학적 결손(부분마비 등) | 중등도 예후 |
| Grade 4 | 혼미(Stupor), 심한 신경학적 결손(편측 마비 등), 중증 뇌기능 장애 | 나쁜 예후 |
| Grade 5 | 깊은 혼수(Coma), 심각한 신경학적 손상, 사망 가능성 높음 | 매우 나쁜 예후 |
- 의의: 환자의 초기 상태를 평가하고, 치료 방법(보존적 치료 vs. 수술적 치료)을 결정하는 데 사용됩니다.
비교 요약
척도평가 기준임상적 활용
| Fisher Grade | CT에서 출혈의 양과 분포 | 뇌혈관연축 위험 예측 |
| Hunt and Hess Scale | 환자의 신경학적 상태 | 환자의 예후 및 치료 결정 |
반응형
'공부 요약' 카테고리의 다른 글
| 간병인 보험의 필요성과 문제 (1) | 2025.03.01 |
|---|---|
| 항경련제 비교: Valproic Acid vs Levetiracetam vs Carbamazepine vs Phenytoin (0) | 2025.02.28 |
| CYP2C19 주요 다형성 (Major Polymorphism) 분석의 목적 (0) | 2025.02.23 |
| 디클로페낙(Diclofenac) 근육주사(IM) 후 소변량이 감소하는 이유 (0) | 2025.02.22 |
| 트리마돌(Trimadol) 통증 완화 메커니즘 (0) | 2025.02.21 |